IMG-LOGO
image

08 июн. 2025

Просмотров: 79

Диагностика рака кишечника: новая технология с точностью 100%

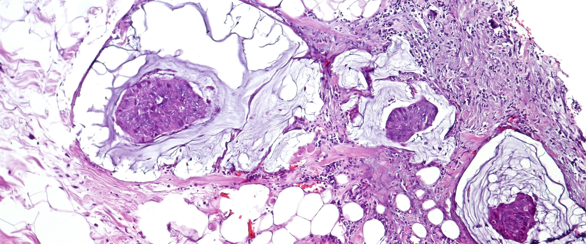
Колоноскопия — золотой стандарт в диагностике рака кишечника, но далеко не идеальный. Представьте: врач внимательно осматривает слизистую через камеру, берет образцы... и все равно может пропустить крошечную, но коварную опухоль на ранней стадии. А уж заглянуть в глубокие слои ткани и вовсе не получается. Знакомая проблема, не так ли? Именно это и подтолкнуло ученых искать способы «прокачать» старый добрый метод.

Исследователи из Вашингтонского университета в Сент-Луисе нашли довольно изящное решение. Они позаимствовали технологию из... офтальмологии! Да-да, ту самую оптическую когерентную томографию (ОКТ), с помощью которой врачи получают сверхточные снимки сетчатки. Подробности рассказывает издание Futurity.

В чем суть? ОКТ улавливает, как свет преломляется в тканях. Оказалось, что здоровые и пораженные клетки делают это по-разному, и эта разница видна на глубине в несколько миллиметров. Получается своего рода «рентгеновское зрение» для слизистой оболочки кишечника, которое может уловить самые первые, предраковые изменения.

Диагностика рака кишечника: новая технология с точностью 100%

Анализ этих высокоточных снимков доверили специально обученной системе. После тренировки на 26 тысячах изображений — как здоровых, так и больных тканей — она научилась ставить диагноз с пугающей, почти фантастической точностью в 100%. И всего за четыре секунды.

Что это значит для нас? Ученые видят будущее в гибридном подходе. Во время обычной колоноскопии в кишечник можно будет ввести тонкий катетер с ОКТ-сканером. Пока врач смотрит на поверхность, технология будет «просвечивать» глубину. Два взгляда лучше, чем один.

Кстати, это не единственное интересное новшество. Немецкие ученые, например, создали систему, которая по генетическому портрету опухоли подбирает оптимальное лечение. Попутно они открыли два новых подтипа этой болезни. Похоже, эра «на глазок» в онкологии постепенно уходит в прошлое.