IMG-LOGO
image

08 июн. 2025

Просмотров: 113

Вечные химикаты ПФАС: чем они опасны для иммунитета человека

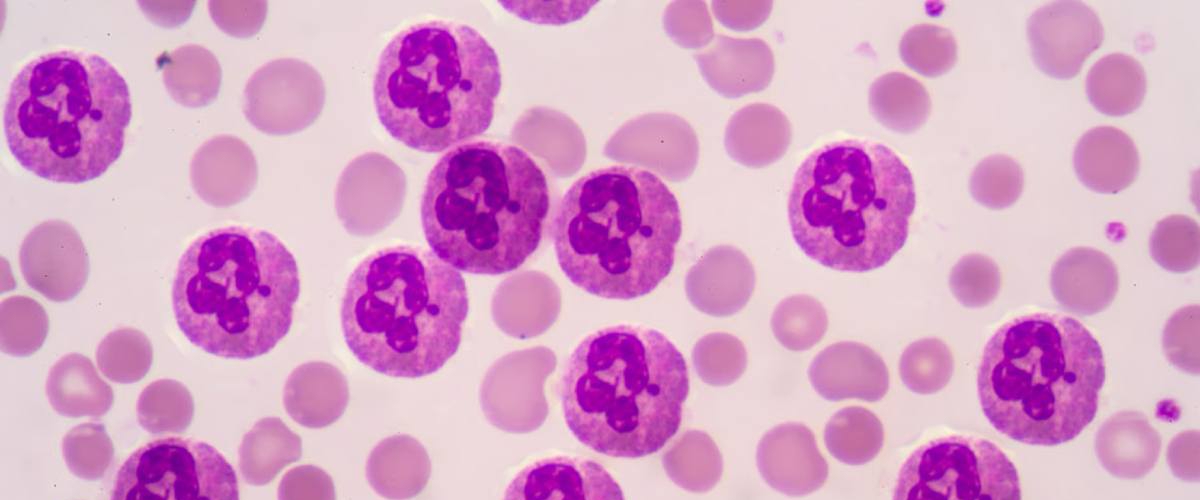
Кажется, мы нашли еще одну причину опасаться так называемых «вечных химикатов». Ученые решили проверить, как девять относительно малоизученных молекул ПФАС влияют на нашу первую линию обороны — врожденный иммунитет. В центре внимания оказались нейтрофилы — эти бесстрашные клетки-камикадзе, которые первыми бросаются в бой с инфекцией. Их главное оружие — так называемый «респираторный взрыв», мощный выброс активных форм кислорода, который буквально сжигает патогены. Что же сделали с этим оружием химические соединения из нашего окружения?

Чтобы получить полную картину, исследователи собрали целый «отряд» нейтрофилов из трех источников. Одни были выращены из человеческой крови, другие взяты у эмбрионов рыбки данио (классический модельный организм), а третьи получены химическим перепрограммированием других клеток. Все эти группы подвергли воздействию коктейля из девяти ПФАС. Источник химикатов красноречив: их нашли в реке Кейп-Фир в Северной Каролине и, что еще тревожнее, выделили из крови местных жителей. Звучит как сценарий научно-популярного триллера, не так ли?

Результаты оказались весьма конкретными. Особенно отличилось соединение GenX — его позиционировали как более безопасную замену старому, крайне токсичному ПФАС. Ирония судьбы? Оказалось, что GenX эффективно подавляет тот самый защитный «респираторный взрыв» во всех трех типах нейтрофилов. По сути, он обезоруживает наши сторожевые клетки, делая организм более уязвимым для атак. Еще одно вещество, PFHxA, показало схожий эффект, но только на клетках данио и нейтрофилоподобных клетках.

Это новое открытие ложится на уже внушительную гору негативных данных. Ранее ученые связывали воздействие ПФАС с развитием диабета, низким весом новорожденных, проблемами с фертильностью, заболеваниями щитовидной железы и несколькими видами рака. Теперь к этому списку, кажется, можно добавить и ослабление врожденного иммунитета.

Исследование из Северной Каролины, безусловно, добавляет мрачных красок в портрет «вечных химикатов». Но авторы работы честно признают: их эксперимент — это лишь первый, очень мощный сигнал тревоги. Они тестировали высокие дозы в течение короткого срока (всего четыре дня), в то время как реальное воздействие на людей — это десятилетия, но при значительно более низких концентрациях. Так что главный вопрос остается открытым: как именно эти тихие, но постоянные дозы подтачивают нашу иммунную защиту год за годом? Ответа у нас пока нет, и в этом, пожалуй, самая большая проблема.