Интенсивные тренировки могут останавливать развитие болезни Паркинсона
Мы давно знали, что физкультура облегчает симптомы Паркинсона. Но не было ясно, влияет ли она на саму причину — на гибель нейронов. Исследование Йеля с участием 10 пациентов впервые показало: да, влияет, и как! Высокоинтенсивные аэробные тренировки сохранили и даже укрепили те самые клетки мозга, которые производят дофамин — нейромедиатор, которого так не хватает при этом заболевании.
После полугода занятий эти нейроны не просто перестали гибнуть — они стали здоровее и начали вырабатывать больше дофамина. А ведь именно этот «химический курьер» отвечает за плавность движений и координацию. Представьте: не таблетка, а собственные усилия меняют биохимию мозга. Невероятно!
«Это первый случай, когда с помощью визуализации мы доказали, что интенсивные упражнения меняют биологию мозга при Паркинсон», — говорит соавтор работы, профессор Эван Д. Моррис. Похоже, спорт действует как лекарство, которое мы сами производим.
Что на самом деле происходит в мозге при болезни Паркинсона?

В основе болезни — ошибка в «упаковке» белка альфа-синуклеина. Он сворачивается неправильно, накапливается внутри нейронов и медленно их убивает. Главная мишень — дофаминовые нейроны в области чёрной субстанции.
Когда эти клетки гибнут, возникает знакомый набор симптомов: тремор, скованность, замедленность. Коварство в том, что болезнь начинает свою разрушительную работу за 10–20 лет до постановки диагноза. К моменту, когда человек замечает тремор, он уже потерял больше половины драгоценных нейронов. Печально, но факт.
Основное лекарство — леводопа — лишь восполняет дефицит дофамина, снимая симптомы. Оно не останавливает гибель клеток и со временем может вызывать тяжёлые побочные эффекты, например, неконтролируемые движения. А вот упражнения, как выясняется, атакуют саму болезнь, а не её проявления. Есть над чем задуматься, правда?
Рецепт от врача: три раза в неделю до седьмого пота
Некоторые фитнес-центры уже предлагают специальные программы для пациентов с Паркинсоном. «Я всегда говорю пациентам, что упражнения — это часть лечения, — объясняет соавтор исследования доктор Суле Тиназ. — Я прописываю их так же обязательно, как и таблетки».
Ранее два масштабных клинических испытания показали: высокоинтенсивные тренировки (где пульс достигает 80–85% от максимума) трижды в неделю в течение полугода реально смягчают двигательные симптомы. «Эти работы доказали, что упражнения влияют на ход болезни», — говорит Тиназ. Команда Йеля взяла эту модель за основу.
Заглянуть внутрь: как учёные увидели изменения

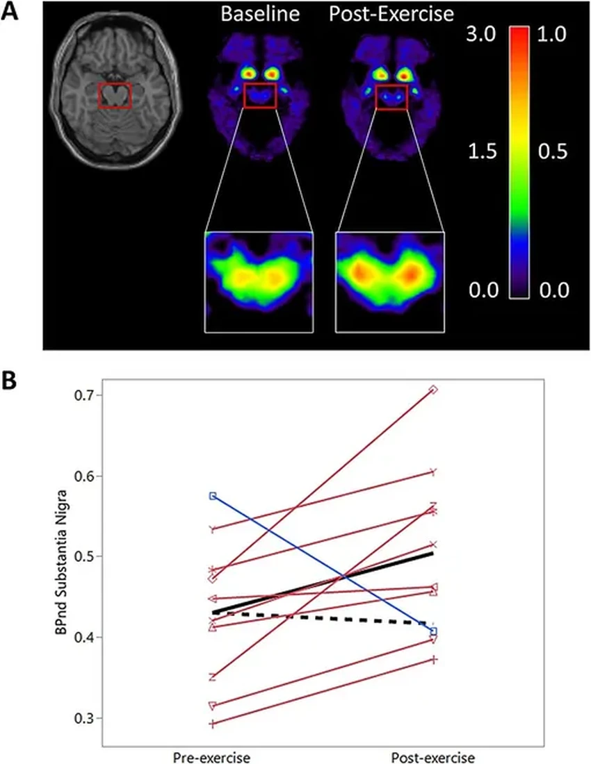
Для исследования отобрали пациентов с недавним диагнозом (менее 4 лет), у которых ещё сохранился резерв дофаминовых нейронов. Все прошли двухнедельный тест на выносливость. Затем — первое сканирование мозга: МРТ для оценки нейромеланина (пигмента в дофаминовых нейронах) и ПЭТ для измерения уровня белка DAT, который регулирует баланс дофамина.
Десять участников затем полгода занимались по онлайн-программе высокоинтенсивных интервальных тренировок (HIFI), отслеживая пульс с помощью мониторов. Через шесть месяцев сканирование повторили. И вот тут случилось то, на что учёные даже не надеялись.
Не остановить, а обратить вспять
Снимки показали значительный рост сигналов и нейромеланина, и DAT в чёрной субстанции. Это означало одно: интенсивные упражнения не просто затормозили дегенерацию, а помогли дофаминовой системе восстановиться. Уровень дофамина вырос.
«Мы ожидали замедления упадка, но увидели улучшение у 9 из 10 человек, — говорит соавтор Барт де Лаат. — Это было поразительно. Это замечательно».
Исследование ясно показывает: режим физических нагрузок должен стать обязательной частью терапии Паркинсона. «Наши лекарства борются только с симптомами. Они не меняют течение болезни, — подчёркивает доктор Тиназ. — А упражнения, кажется, дают настоящую защиту на уровне нейронов».
Учёные надеются, что их работа вдохновит на новые исследования в этой области. Прогнозы пугают: к 2040 году с болезнью Паркинсона будут жить более 12 миллионов человек в мире. И если простой, доступный и недорогой метод способен изменить эту траекторию — это не просто открытие, это луч надежды для миллионов.