IMG-LOGO
image

12 мар. 2024

Просмотров: 115

История пациента: паразиты в мозге из-за недожаренного бекона

Когда 52-летний американец пришел к врачу с жуткой мигренью, он и представить не мог, что станет героем медицинского кейса. Причиной его мучительных головных болей оказались не стресс и не сосуды, а... паразитические черви, поселившиеся в мозге. И виной всему — любовь к недожаренному бекону.
История человека, чей мозг атаковали личинки свиного цепня.

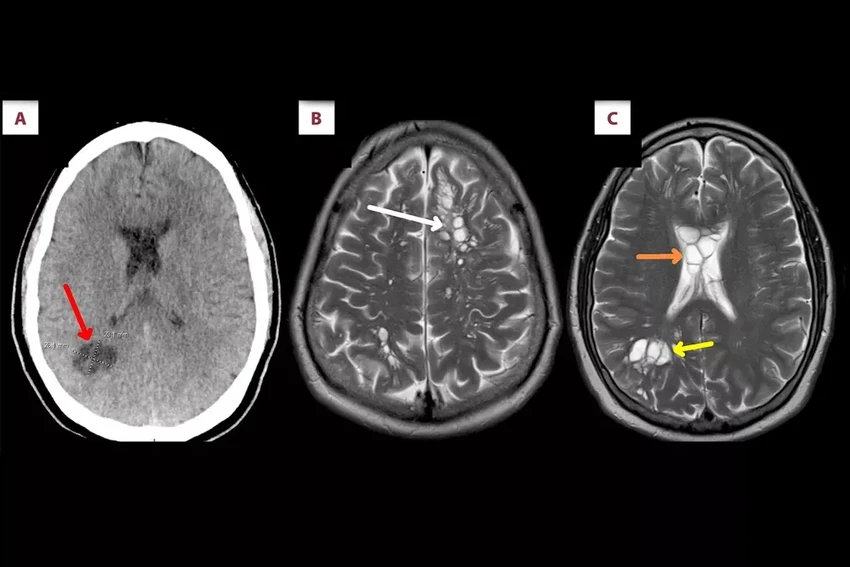
Медики из Университета Южной Флориды описали этот случай в American Journal of Case Reports. Пациент годами страдал от хронической мигрени, которая не поддавалась обычному лечению. Боль, сосредоточенная в затылке, лишь усиливалась. Когда терпение лопнуло, он отправился на обследование.

Компьютерная томография головы показала шокирующую картину: в мозге, с обеих сторон, обнаружились множественные кисты. Последующий анализ поставил точный диагноз: нейроцистицеркоз. Это особая и очень опасная форма заражения личинками свиного цепня (Taenia solium). Представьте: ваш собственный мозг становится инкубатором для паразита.

Как свиной цепень попадает в мозг? Не только через путешествия

История пациента: паразиты в мозге из-за недожаренного бекона

Обычно люди подхватывают этого паразита, выпив зараженную воду или съев что-то грязное. Подавляющее большинство случаев фиксируют в развивающихся странах, и для США такая история — большая редкость. Главные симптомы нейроцистицеркоза — это изнурительные головные боли и судороги, которые возникают у 80% зараженных. Тяжесть состояния зависит от того, какие именно зоны мозга оккупировал червь. Не самое приятное соседство, правда?

Загадка пациента из Флориды: разгадка в тарелке

История пациента: паразиты в мозге из-за недожаренного бекона

Случай был действительно нестандартным. Пациент не выезжал за пределы страны, не контактировал со свиньями (главными переносчиками цепня) и жил в хороших условиях. Откуда же взялся паразит? Разгадка оказалась на удивление бытовой. Мужчина признался, что много лет обожал есть бекон, который он намеренно не дожаривал до хруста. Врачи пришли к выводу: именно эта привычка, в сочетании с недостаточно тщательной гигиеной (например, мытьем рук после туалета), и привела к заражению. Яйца паразита попали из кишечника в организм через грязные руки, а оттуда — с кровотоком в мозг.

Пациенту прописали курс противопаразитных и противовоспалительных препаратов. Лечение дало результат: очаги поражения в мозге значительно уменьшились, а изматывающие головные боли наконец отступили. Эта история — мощное напоминание о том, что даже в развитом мире простые правила безопасности на кухне и в быту могут уберечь от невероятных рисков.