IMG-LOGO
image

13 дек. 2023

Просмотров: 83

Почему опасно сдерживать чихание: первый случай разрыва трахеи

Мы все так делали: чувствуем щекотку в носу и изо всех сил стараемся не чихнуть в самый неподходящий момент. Казалось бы, безобидная привычка? А вот и нет. История одного шотландца доказывает, что сдерживание может обернуться настоящей травмой — вплоть до дыры в горле.
Парень решил не чихать за рулем и в итоге попал в больницу с разрывом трахеи. Думаете, преувеличение? Читайте дальше.

В свежем отчете медицинского журнала BMJ Case Reports описан уникальный случай. Его герой — 30-летний пациент из Шотландии, страдающий от сенной лихорадки (той самой аллергии на пыльцу, которая заставляет нас безостановочно чихать).

Он ехал за рулем, почувствовал знакомый позыв и... решил его подавить. Крепко зажал нос и рот. И в ту же секунду ощутил в горле такую острую боль, что пришлось ехать прямиком в отделение скорой помощи.

К моменту прибытия боль не утихла, а шея заметно опухла. Пациент мог говорить и глотать, но почти не поворачивал голову. Врач, легонько нажав на опухшее место, услышал треск — звук, который в медицине ничего хорошего не сулит.

Так что же случилось внутри?

Почему опасно сдерживать чихание: первый случай разрыва трахеи

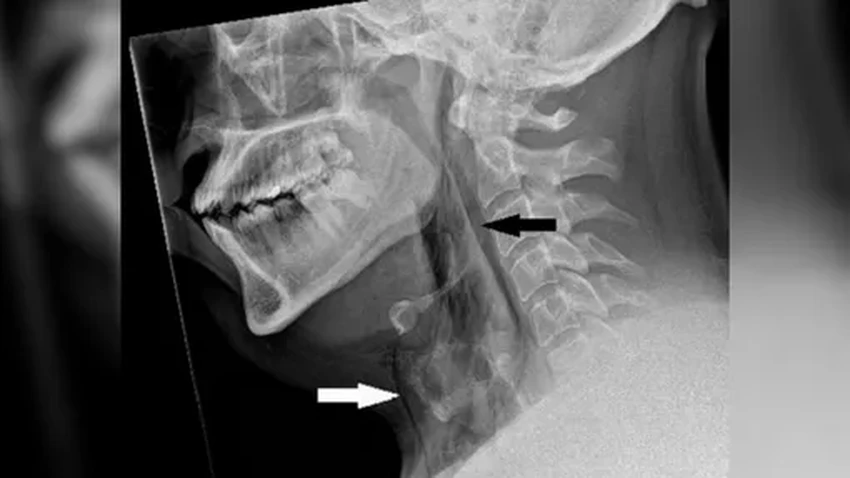
Рентген показал хирургическую эмфизему — воздух проник глубоко под кожу в те ткани, где ему быть совсем не положено. А компьютерная томография выявила крошечную, но опасную дырочку в трахее: 2 на 2 миллиметра в ширину и 5 миллиметров в глубину.

Это первый задокументированный случай, когда сдерживание чихания привело к спонтанному разрыву трахеи. Виной всему — резкий скачок давления в дыхательных путях. В момент подавления чиха оно взлетает в 20 раз выше нормы! Представляете силу?

К счастью, операция не потребовалась — пациент дышал самостоятельно. Его лечили обезболивающими, включая кодеин. И знаете что? Через пять недель дыра благополучно затянулась сама. Повезло, скажем прямо.

Почему опасно сдерживать чихание: первый случай разрыва трахеи

Хотя такой случай пока единственный, врачи предупреждают: подавлять чихание — плохая идея. Рискуете не только трахеей, но и барабанными перепонками. Может пойти кровь из носа или лопнут капилляры в глазах. Так что в следующий раз, почувствовав «апчху», лучше дайте себе волю — это куда безопаснее.