Женщина ослепла на один глаз. Причина — невыявленный рак легких
В журнале Radiology Case Reports появилась эта невероятная история. Пациентка, чье имя не раскрывается, пожаловалась лишь на слепоту правого глаза и редкие вспышки света в левом. Ни боли, ни кашля, ни слабости. Она не курила и вела, казалось бы, здоровый образ жизни. Прямо загадка для любого врача.
Первичный осмотр лишь углубил недоумение: глаза выглядели совершенно нормально. Но заглянув на глазное дно, офтальмологи увидели странную желтоватую массу, отслоившую сетчатку правого глаза. Похожая, но меньшая картина была и в левом. Анализы крови тоже молчали — никаких инфекций, никаких системных сбоев. Так куда же смотреть дальше?
Настоящая причина

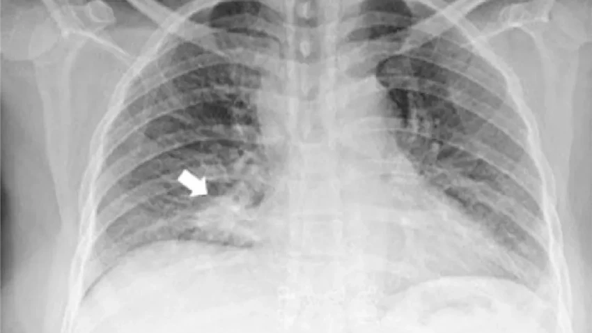
Врачи решили проверить легкие. Почему? Иногда такие глазные проблемы вызывает, например, туберкулез. Они сделали рентген грудной клетки. И картина прояснилась с пугающей ясностью: в легких зияла активная злокачественная опухоль.
Последующая КТ показала и вовсе мрачную картину: метастазы рассыпались по всему телу. Добрались они и до глаз. Вот он, невидимый враг, который заявил о себе через зрение.
Да, рак иногда добирается до глаз, но при раке легких такое — редкость из редкостей. Всего 0.1–7% случаев. Авторы отчета нашли упоминания лишь о 58 подобных пациентах за всю историю. И все они были старше, часто курили. А тут — молодая, некурящая женщина. Неужели организм может так коварно молчать?
Самое жуткое в этой истории — полное отсутствие других симптомов. Рак легких тихо развивался, не вызывая ни кашля, ни одышки, и решил «постучаться» через потерю зрения. Сколько бы он еще скрывался, не дай он этих метастазов?

Врачи, описавшие случай, уверены: это первый прецедент, когда у некурящего человека младше 40 лет рак легких дебютировал именно слепотой. Они призывают научное сообщество лучше изучить пути метастазирования и эти коварные бессимптомные сценарии. Ведь как часто мы списываем странные «мелочи» на усталость?
После диагноза женщину передали онкологам. О ее дальнейшей судьбе в отчете, к сожалению, ничего не сказано. Этот случай — не просто медицинская диковинка. Это серьезный сигнал о том, как хрупок и непредсказуем наш организм, и как важно прислушиваться даже к самым неочевидным его сигналам.