IMG-LOGO
image

08 июн. 2025

Просмотров: 67

Вечные химикаты против иммунитета: как ПФАС ослабляют нашу защиту

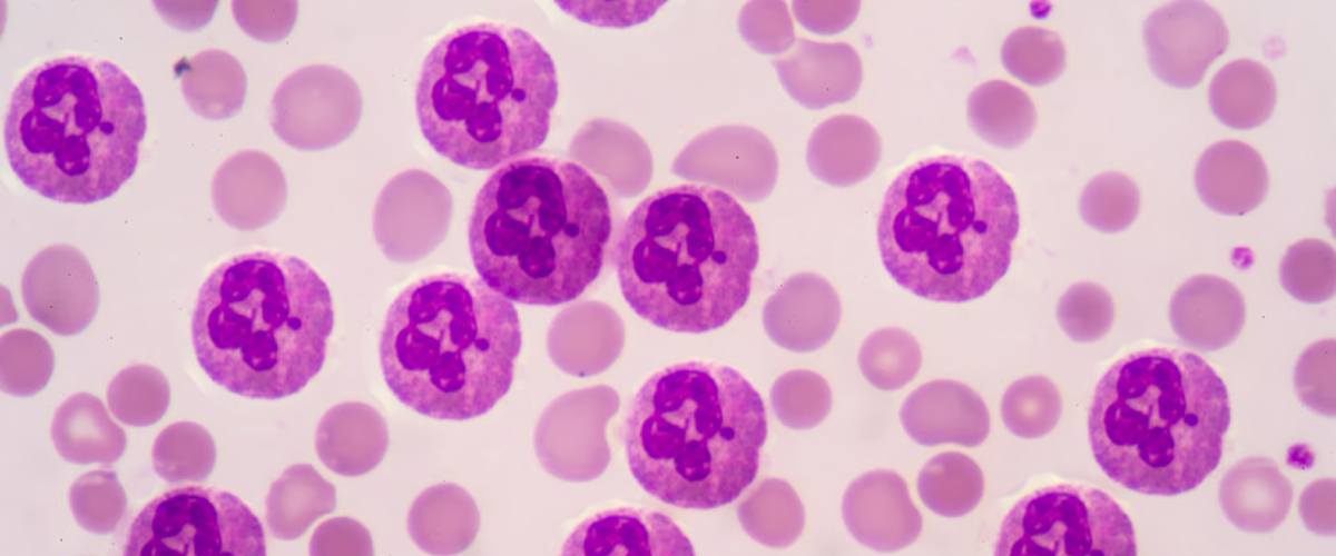
Знакомьтесь: вечные химикаты. Так называют ПФАС — пер- и полифторалкильные вещества. Они не разлагаются в природе и, как выясняется, могут «ломать» нашу первую линию обороны. Ученые взялись за девять таких молекул, о которых мы знали мало, и проверили их действие на нейтрофилах. Что это такое? Представьте себе спецназ иммунной системы: эти клетки первыми мчатся к очагу инфекции и буквально взрывают патогены активными формами кислорода. Этот процесс даже назвали красиво — «респираторный взрыв». И вот его-то химикаты и нарушают.

Чтобы картина была полной, эксперимент поставили на трёх фронтах. Взяли нейтрофилы из человеческой крови, вырастили их из эмбрионов рыбок данио (отличная модель для исследований) и создали искусственные «нейтрофилоподобные» клетки. Всех их подвергли воздействию коктейля из девяти ПФАС, найденных в реальной реке Кейп-Фир и в крови местных жителей. Не абстрактная химия, а наша с вами возможная реальность.

И тут появился главный «злодей» — GenX. Его создали как более безопасную замену старому, очень токсичному ПФАС. Ирония судьбы? Оказалось, что и этот «улучшенный» вариант опасен. Он подавлял респираторный взрыв во всех трёх типах клеток. Проще говоря, он разоружал иммунный спецназ, лишая его главного оружия. Ещё один химикат, PFHxA, вредил, но только рыбьим и искусственным клеткам. Почему? Это ещё предстоит выяснить.

Мы уже знаем, что ПФАС связывают с диабетом, бесплодием, раком и проблемами щитовидки. Теперь к этому списку, кажется, можно добавить и уязвимость перед инфекциями. Звучит тревожно, не правда ли?

Исследование из Северной Каролины добавляет новые тревожные детали в портрет этих вездесущих загрязнителей. Но главный вопрос остаётся. Учёные тестировали высокие дозы в течение короткого периода — четырёх дней. А что происходит с нами, когда мы десятилетиями получаем крошечные дозы из воды, пищи и пыли? Как эта хроническая, почти неощутимая атака влияет на нашу способность сопротивляться болезням? Пока ответа нет. И в этом, пожалуй, самая большая тревога.